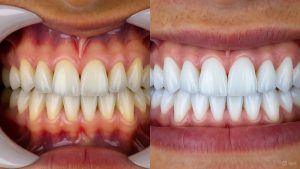
آیا تا به حال به این فکر کردهاید که لبخندی زیباتر، سفیدتر و جذابتر داشته باشید؟ امروزه زیبایی دندانها نقش بسیار مهمی در اعتماد به نفس و تعاملات اجتماعی دارد. بسیاری از افراد با مشکلاتی مانند زردی، لبپریدگی یا ناهماهنگی دندانها مواجهاند و به دنبال راهی برای بهبود لبخند خود هستند. یکی از روشهای مدرن و مؤثر برای رسیدن به این هدف، لمینت دندان است. اما دقیقاً لمینت دندان چیست و چگونه است؟ در این مقاله جامع از کلینیک دندانپزشکی آرنیک، با نگاهی عمیق به فرآیند لمینت، انواع مدل لمینت دندان، قیمت هر واحد لمینت، عوارض لمینت و لمینت دندان چقدر ماندگاری دارد میپردازیم تا با آگاهی کامل تصمیم بگیرید.
در این مقاله میخوانید
Toggleلمینت دندان چیست و چگونه است؟
کسانی که هیچ اطلاعی از لمینت دندان ندارند عموما از ما میپرسند که «لمینت دندان چیست و چگونه است؟». باید بگوییم که در اصل لمینت دندان (Dental Veneer) یک پوسته بسیار نازک و مقاوم است که روی سطح جلویی دندانها قرار میگیرد تا رنگ، شکل، اندازه یا طول دندانها را اصلاح کند. این پوسته معمولاً از جنس سرامیک یا کامپوزیت ساخته میشود. در پاسخ به سؤال رایج لمینت دندان به چه صورت است، باید گفت که فرآیند نصب آن شامل چند مرحله دقیق است:
- بررسی وضعیت دندانها و مشاوره اولیه
- تراش سطحی بسیار اندک از مینای دندان (در حد چند دهم میلیمتر)
- قالبگیری و ارسال آن به لابراتوار دندانسازی
- ساخت لمینت اختصاصی بر اساس رنگ و فرم دندانهای فرد
- چسباندن پوستههای لمینت با مواد مخصوص روی دندانها
مزایای لمینت دندان
- تغییر رنگ و سفیدتر شدن دندانها بدون نیاز به بلیچینگ
- اصلاح شکل و هماهنگی دندانها با فرم لب و صورت
- بستن فاصله بین دندانها (دیاسما)
- افزایش اعتماد به نفس و زیبایی لبخند
- دوام و مقاومت بالا در برابر لک و تغییر رنگ
📌پاسخ به پرسش «لمینت دندان چیست و چگونه است» از اینجا به بعد کمی تخصصی میشود. شما میتوانید با مراجعه به این سایت اطلاعات تکمیلی را دریافت کنید.
انواع مدل لمینت دندان
انتخاب نوع مناسب لمینت یکی از مهمترین مراحل درمان زیبایی است و تأثیر مستقیمی بر نتیجه نهایی دارد. بسته به جنس، روش ساخت، ماندگاری و هزینه، لمینتها به چند نوع اصلی تقسیم میشوند که هرکدام مزایا و معایب خاص خود را دارند. در ادامه هر نوع را بهصورت دقیقتر بررسی میکنیم تا با انواع مدل لمینت دندان آشنا شوید و بتوانید بهترین گزینه را برای خود انتخاب کنید.
۱-لمینت سرامیکی (پرسلنی)
لمینت سرامیکی یا پرسلنی از پرکاربردترین و محبوبترین انواع لمینت دندان است که از جنس پرسلن فشرده و مقاوم ساخته میشود. این نوع لمینت ظاهری بسیار طبیعی دارد و به دلیل انعکاس نور مشابه مینای دندان، جلوهای درخشان ایجاد میکند. همچنین مقاومت بالایی در برابر تغییر رنگ دارد و برای افرادی که نوشیدنیهای رنگی مصرف میکنند (مانند قهوه یا چای) گزینهای ایدهآل است.
ویژگیهای مثبت:
- ماندگاری بالا (در صورت مراقبت صحیح بیش از یک دهه)
- مقاومت عالی در برابر لک و تغییر رنگ
- ظاهر طبیعی و هماهنگ با رنگ دندانهای مجاور
- مقاومت مناسب در برابر فشار و جویدن غذاهای معمول
ویژگیهای منفی:
- هزینه نسبتاً بالا در مقایسه با سایر انواع
- نیاز به تراش سطحی از مینای دندان
- در صورت شکستگی، نیاز به تعویض کامل پوسته
۲-لمینت کامپوزیتی
لمینت کامپوزیتی از جنس رزین کامپوزیت ساخته میشود و بهصورت مستقیم روی دندان شکل داده میشود. برخلاف لمینت سرامیکی که نیاز به قالبگیری و لابراتوار دارد، این نوع معمولاً در یک جلسه توسط دندانپزشک انجام میشود. این نوع لمینت برای افرادی مناسب است که به دنبال اصلاح سریع لبخند خود هستند و نمیخواهند هزینه زیادی پرداخت کنند.
ویژگیهای مثبت:
- هزینه کمتر نسبت به لمینت سرامیکی
- امکان نصب در یک جلسه
- قابل ترمیم در صورت لبپریدگی یا شکستگی
- حداقل تراش سطحی دندان
ویژگیهای منفی:
- ماندگاری کمتر نسبت به سرامیکی (بهطور میانگین نصف آن)
- احتمال تغییر رنگ در اثر مصرف نوشیدنیها یا دخانیات
- درخشندگی کمتر نسبت به مدل سرامیکی
۳-لمینت فوق نازک (لومینیرز)
لمینت لومینیرز جدیدترین نوع لمینت است که ضخامت بسیار کمی دارد و در اغلب موارد نیازی به تراش مینای دندان ندارد. این نوع برای افرادی مناسب است که تمایل دارند دندانهای طبیعیشان تا حد ممکن حفظ شود. ضخامت کم این لمینتها باعث میشود نصب آن کاملاً بدون درد و غیرتهاجمی باشد.
ویژگیهای مثبت:
- بدون نیاز به تراش دندان
- فرآیند نصب سریع و بدون درد
- حفظ کامل مینای طبیعی دندان
- ظاهر بسیار ظریف و طبیعی
ویژگیهای منفی:
- قیمت بالا به دلیل تکنولوژی ساخت ویژه
- نیاز به مهارت بالا در نصب توسط دندانپزشک
- ممکن است در برخی افراد، درخشش طبیعی کمتری نسبت به پرسلن داشته باشد

قیمت هر واحد لمینت دندان
قیمت هر واحد لمینت دندان بسته به نوع، کیفیت مواد، برند و تخصص دندانپزشک متفاوت است. در مقایسه کلی میتوان گفت:
- لمینت کامپوزیتی از نظر اقتصادی مقرونبهصرفهتر است اما ماندگاری و درخشندگی کمتری دارد.
- لمینت سرامیکی گرانتر است ولی در بلندمدت صرفه بیشتری دارد زیرا مقاومت بالاتر و نیاز کمتر به ترمیم دارد.
- لمینت لومینیرز بیشترین هزینه را دارد اما از نظر ظرافت و غیرتهاجمی بودن بیرقیب است. به طور کلی اگرچه لمینتهای کامپوزیتی برای کسانی که بودجه محدود دارند مناسبتر هستند، اما لمینت سرامیکی از نظر دوام، زیبایی و کیفیت در طولانیمدت گزینه بهصرفهتری محسوب میشود.
نکته تخصصی
اگرچه لمینت کامپوزیتی ارزانتر است، اما لمینت سرامیکی به دلیل ماندگاری بیشتر و مقاومت بالا در برابر تغییر رنگ، در بلندمدت مقرونبهصرفهتر محسوب میشود.
عوارض لمینت دندان
اگرچه لمینت یکی از ایمنترین روشهای زیبایی دندان است، اما در صورت اجرای نادرست یا رعایت نکردن بهداشت دهان، ممکن است برخی مشکلات ایجاد شود. آگاهی از این موارد به بیمار کمک میکند تصمیمی هوشمندانهتر بگیرد.
عوارض احتمالی لمینت:
- حساسیت دندانها:ممکن است دندانها برای چند روز نسبت به گرما و سرما حساس شوند که معمولاً موقتی است.
- التهاب یا خونریزی لثه: در صورتی که لمینت بهدرستی روی خط لثه تنظیم نشود.
- لبپریدگی و شکستگی: در اثر جویدن مواد سخت یا دندان قروچه.
- آسیب به مینای دندان: اگر در مراحل تراش دندان زیادهروی شود.
- تغییر رنگ لبهها: در اثر عدم رعایت بهداشت و تجمع پلاک.
- لق شدن لمینت: در موارد نادر به دلیل ضعف در چسب یا فشار زیاد روی دندانها.
فواید لمینت دندان
در کنار عوارض احتمالی لمینت دندان، فواید لمینت بسیار چشمگیر است و دلیل اصلی محبوبیت این روش در سراسر دنیا همین مزایا است:
- زیبایی لبخند: اصلاح رنگ، شکل و اندازه دندانها باعث ایجاد لبخندی هماهنگ و جذاب میشود.
- افزایش اعتماد به نفس: با داشتن دندانهایی سفید و مرتب، لبخند زدن آسانتر و طبیعیتر میشود.
- اصلاح مشکلات خفیف دندانی: مانند فاصله بین دندانها یا لبپریدگی جزئی.
- مقاومت در برابر تغییر رنگ: بهویژه در لمینتهای سرامیکی که لک نمیگیرند.
- دوام بالا: در صورت رعایت مراقبتها، تا سالها نیاز به تعویض ندارند.
- جایگزین مناسب برای ارتودنسی خفیف: در مواردی که نظم دندانها اندک بههمریخته است.
لمینت دندان چقدر ماندگاری دارد؟
سؤال متداول بسیاری از بیماران این است که لمینت دندان چقدر ماندگاری دارد؟ یا طول عمر لمینت چقدر است؟ پاسخ دقیق بستگی به نوع لمینت و نحوه مراقبت از آن دارد.
ماندگاری انواع لمینت
- لمینت سرامیکی: ۸ تا ۱۵ سال
- لمینت کامپوزیتی: ۵ تا ۸ سال
- لمینت لومینیرز: تا ۲۰ سال در شرایط ایدهآل
عواملی که بر طول عمر تأثیر میگذارند:
- رعایت بهداشت دهان و دندان بهصورت روزانه
- اجتناب از جویدن ناخن و خوراکیهای سخت
- پرهیز از نوشیدنیهای رنگدار مانند چای و قهوه
- مراجعه منظم به دندانپزشک هر شش ماه یکبار
مراقبتهای بعد از لمینت دندان
مراقبت صحیح بعد از نصب لمینت دندان نقش حیاتی در ماندگاری و زیبایی آن دارد. در واقع، حتی بهترین لمینتها هم بدون رعایت اصول مراقبتی ممکن است در مدت کوتاهی آسیب ببینند. بنابراین، پس از انجام لمینت لازم است عادات روزمره خود را کمی اصلاح کنید تا از نتایج ماندگار بهرهمند شوید.
نکات مراقبتی:
- مسواک زدن دو بار در روز با خمیر دندان مناسب دندانهای حساس.
- استفاده از نخ دندان برای تمیز کردن فواصل بین دندانها.
- پرهیز از جویدن اجسام سخت مانند یخ، مداد یا ناخن.
- خودداری از باز کردن درب بطری با دندان.
- کاهش مصرف نوشیدنیهای رنگی مانند چای، قهوه و نوشابه.
- مراجعه به دندانپزشک هر ۶ ماه برای بررسی وضعیت لمینت.
- استفاده از محافظ دندانی هنگام خواب در صورت داشتن عادت دندانقروچه.
- خودداری از مصرف دخانیات که میتواند باعث تغییر رنگ در لبهها شود.
- شستوشوی دهان با دهانشویههای ضدباکتری برای جلوگیری از التهاب لثه.
- پرهیز از فشار بیش از حد به دندانهای جلویی هنگام گاز زدن خوراکیهای سفت.
رعایت این نکات باعث افزایش طول عمر لمینتها و حفظ درخشندگی آنها برای سالها خواهد شد.

نتیجهگیری
در این مقاله با جزئیات بررسی کردیم که لمینت دندان چیست و چگونه است و چه مزایا، عوارض و هزینههایی دارد. و البته با انواع مدل لمینت دندان نیز آشنا شدید و جزئیات مربوط به قیمت هر واحد لمینت را فهمیدید. اگر شما هم به دنبال لبخندی درخشان و طبیعی هستید، لمینت میتواند انتخابی ایدهآل باشد. متخصصان کلینیک دندانپزشکی آرنیک با بهرهگیری از تجهیزات مدرن و مواد باکیفیت، بهترین نتیجه را برای هر بیمار تضمین میکنند.
📌اطلاعات تکمیلی را در این صفحه از وبلاگ کلینیک دندانپزشکی آرنیک بخوانید.همچنین میتوانید سوالات و نکات خود را در زیر همین پست و یا در قسمت تماس با ما از ما بپرسید.
برای دریافت مشاوره رایگان، رزرو نوبت آنلاین و مشاهده نمونهکارهای واقعی، به صفحه خدمات زیبایی دندان ما مراجعه کنید. همچنین خوشحال میشویم پرسشها و تجربیات خود را در بخش نظرات همین مقاله با ما به اشتراک بگذارید.






2 دیدگاه دربارهٔ «لمینت دندان چیست و چگونه است»
اتفاقا من تازه لمینت کردم ولی یکم درد دارم توی لثهم.
سلام دوست عزیز
پیشنهاد ما به شما این از که با مراجعه به بخش ارتباط با ما، با کارشناسان و مشاوران ما در ارتباط باشید تا بررسی های دقیق تری روی دندان های شما صورت پذیرد