| یکی از بیماران کلینیک دندانپزشکی آرنیک، به مطب مراجعه کرد. قرار بود روکش پی اف ام برای دندان پره مولر خود قرار دهد، اما نگران ظاهر طبیعی و دوام آن بود.سوال ایشان این بود: ” این روکش پی اف ام چیست؟ آیا واقعاً مثل دندان طبیعی به نظر میرسد؟ روکش دندان چند سال عمر میکند؟” پس از معاینه دقیق و توضیحات کامل درباره مزایا، معایب و مراقبت از روکش دندان، او با اطمینان خاطر تصمیم گرفت و امروز پس از دو سال، از نتیجه کاملاً راضی است. در این مقاله، به طور کامل به بررسی روکش پی اف ام، مقایسه آن با روکش دندان طلا، عمر روکش دندان عصب کشی شده، مراقبت بعد روکش دندان و روکش دندان فوری میپردازیم. |
| همچنین در این وبلاگ بخوانید:طول عمر بلیچینگ دندان چقدر است؟ + راهکارهای افزایش ماندگاری تا 3 سال |
در این مقاله میخوانید
Toggleروکش پی اف ام چیست و چگونه ساخته میشود؟
روکش پی اف ام یا Porcelain-Fused-to-Metal، یکی از پرکاربردترین و محبوبترین انواع روکشهای دندانی است که از ترکیب دو ماده فلز و پرسلن ساخته میشود. در این روش، ابتدا یک زیرساخت فلزی نازک (معمولاً از آلیاژهای نیکل-کروم، کبالت-کروم یا آلیاژهای گرانبها مانند طلا-پلاتین) طراحی و ساخته میشود، سپس لایههای پرسلنی سفید و شفاف روی آن اعمال و در دمای بسیار بالا (حدود ۱۰۰۰ درجه سانتیگراد) پخته میشوند.
این ترکیب ویژه، استحکام فلز را با زیبایی پرسلن در یک روکش ادغام میکند. فلز زیرین، مقاومت و پایداری لازم را فراهم میکند، در حالی که پرسلن رویی، ظاهری طبیعی و شبیه به مینای دندان ایجاد میکند.
فرآیند ساخت روکش پی اف ام:
۱- آمادهسازی دندان: دندانپزشک دندان را تراش داده و قالب گیری دقیق انجام می دهد.
۲- طراحی زیرساخت فلزی: متخصص دندانسازی بر اساس قالب، ساختار فلزی دقیق و اصولی میسازد.
۳- اعمال لایههای پرسلن: پرسلن به صورت لایهبهلایه روی فلز قرار گرفته و در کوره پخته میشود.
۴- نهاییسازی و براقکاری: روکش صیقل داده شده و برای نصب نهایی آماده میشود.

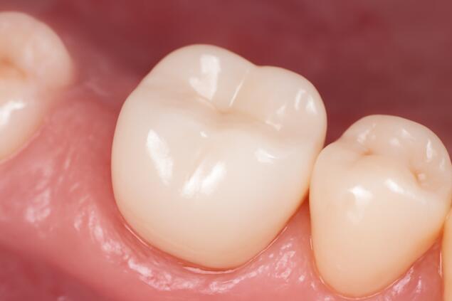
عکس روکش پی اف ام به وضوح نشان میدهد که چگونه این روکش میتواند ظاهری هماهنگ با دندانهای طبیعی اطراف داشته باشد، به خصوص در دندانهای خلفی
مزایا و معایب روکش پی اف ام
مزایای روکش پی اف ام:
– استحکام بالا: زیرساخت فلزی باعث میشود این روکشها در برابر فشار جویدن بسیار مقاوم باشند و به ندرت بشکنند.
– دوام طولانیمدت: با مراقبت صحیح، عمر روکش دندان عصب کشی شده از نوع پی اف ام میتواند به ۱۰ تا ۱۵ سال یا بیشتر برسد.
– زیبایی قابل قبول: پرسلن رویی ظاهری نسبتاً طبیعی ایجاد میکند.
– کاربرد گسترده: برای دندانهای قدامی و خلفی قابل استفاده است.
– اتصال محکم: پیوند شیمیایی قوی بین فلز و پرسلن، دوام بالایی ایجاد میکند.
– تناسب با پلهای دندانی: برای روکش دندان متصل به هم (پلهای چند واحدی) گزینه مناسبی است.
معایب روکش پی اف ام:
– خط تیره فلزی: گاهی در نزدیکی لثه، یک خط خاکستری یا تیره از فلز زیرین دیده میشود که از شاید زیبا نباشد.
– حساسیت احتمالی: برخی بیماران به فلزات خاص (مانند نیکل) حساسیت دارند.
– شفافیت محدود: در مقایسه با روکشهای تمام سرامیکی، پرسلن پی اف ام شفافیت کمتری دارد و نور کمتری از آن عبور میکند.
– فرسایش دندان مقابل: پرسلن ممکن است باعث فرسایش تدریجی دندانهای مقابل شود.
– ریسک تراشیدگی پرسلن: در صورت ضربه، پرسلن ممکن است از فلز جدا شود (chipping).
✅ تجربه واقعی از کلینیک آرنیک:آقای رضا، ۴۲ ساله، برای ترمیم دندان آسیاب خود روکش پی اف ام انتخاب کرد. او میگوید: “در ابتدا نگران بودم که روکش طبیعی به نظر نرسد، اما دکتر رنگ را کاملاً با دندانهای دیگرم هماهنگ کرد. بعد از چهار سال، هنوز مثل روز اول است. فقط یک نکته: مراقبت بعد روکش دندان واقعاً اهمیت دارد. من هر روز نخ دندان استفاده میکنم و هر شش ماه برای جرمگیری مراجعه میکنم.” |
مقایسه روکش پی اف ام با روکش دندان طلا و سایر انواع
یکی از سوالات متداول بیماران این است که آیا روکش پی اف ام بهتر است یا روکش دندان طلا؟ یا مثلاً روکش زیرکونیا چطور؟ برای پاسخ به این سوال، جدول مقایسه جامعی تهیه کردهایم:

| ویژگی | روکش پی اف ام | روکش دندان طلا | روکش زیرکونیا | روکش E-max |
|---|---|---|---|---|
| زیبایی و ظاهر طبیعی | خوب (خط فلزی احتمالی) | ضعیف (رنگ طلایی) | عالی | عالی |
| استحکام و دوام | عالی | عالی | عالی | خوب |
| سازگاری با بافت لثه | خوب | عالی | عالی | عالی |
| مناسب برای دندانهای قدامی | متوسط | خیر | بله | بله |
| مناسب برای دندانهای خلفی | بله | بله | بله | متوسط |
| فرسایش دندان مقابل | متوسط | کم | کم | متوسط |
| نیاز به تراش دندان | متوسط | کم | متوسط | کم تا متوسط |
| احتمال حساسیت | کم (اگر از آلیاژ مناسب) | بسیار کم | بسیار کم | بسیار کم |
روکش دندان طلا:
روکش طلا دندون یکی از قدیمیترین و در عین حال دوامآورترین روکشهاست. آلیاژ طلا بسیار سازگار با بافت لثه است و به ندرت باعث حساسیت میشود. با این حال، ظاهر طلایی آن برای بسیاری از بیماران، به خصوص در دندانهای جلویی، مطلوب نیست. روکش دندان طلا عمدتاً برای دندانهای آسیاب و پره مولرهای عقبی توصیه میشود. با این حال به دلیل با ارزش بودن آن برخی از این به عنوان روکش استفاده میکنند.
✅ تجربه واقعی از کلینیک آرنیک:خانم سارا، ۳۵ ساله، برای دندان آسیاب خود بین روکش پی اف ام و روکش طلا دندون مردد بود. او میگوید: “من میخواستم دندانی که تراشیده شد، هم زیبا باشد هم بادوام. دکتر توضیح دادند که روکش طلا دندون بسیار مقاوم است ولی در دندانهای جلویی دیده میشود. چون دندان من کمی جلوتر بود، روکش پی اف ام را انتخاب کردیم و نتیجه فوقالعاده بود. رنگ کاملاً با دندانهای بغلی یکی شد.” |
روکش دندان چند سال عمر میکند؟
یکی از مهمترین سوالاتی که بیماران از ما میپرسند این است: روکش دندان چند سال عمر میکند؟ پاسخ به این سوال به عوامل مختلفی بستگی دارد.
عمر روکش دندان عصب کشی شده:
به طور کلی، روکش پی اف ام میتواند بین ۱۰ تا ۱۵ سال یا حتی بیشتر دوام بیاورد. برخی مطالعات نشان میدهند که با مراقبت مناسب، این مدت میتواند به ۲۰ سال نیز برسد. اما عمر روکش دندان عصب کشی شده به دلایل زیر بستگی دارد:
۱- کیفیت اجرا: دقت در تراشیدن دندان، قالبگیری صحیح و چسباندن دقیق روکش، تاثیر مستقیم بر طول عمر آن دارد.
۲- نوع مواد: کیفیت آلیاژ فلزی و پرسلن استفاده شده بسیار حیاتی است. روکشهایی که از آلیاژهای گرانبها (طلا-پلاتین) ساخته میشوند، معمولاً دوام بیشتری دارند.
۳- بهداشت دهان و دندان: مسواک زدن منظم، استفاده از نخ دندان و مراجعات دورهای به دندانپزشک، عوامل کلیدی هستند.
۴- عادات جویدن: دندان قروچه، جویدن یخ، باز کردن بستهبندی با دندان و موارد مشابه میتوانند به روکش آسیب برسانند.
۵- موقعیت دندان: دندانهایی که فشار جویدن بیشتری را تحمل میکنند (مانند آسیابها)، ممکن است زودتر نیاز به تعویض داشته باشند.
۶- سلامت دندان زیرین: اگر دندان عصب کشی شده ضعیف یا دارای پوسیدگی باشد، ممکن است روکش زودتر مشکل پیدا کند.
آماری از کلینیک آرنیک:
در کلینیک دندانپزشکی آرنیک، پیگیری بلندمدت بیماران نشان داده که بیش از ۸۵٪ روکشهای پی اف ام نصب شده، پس از ۱۰ سال هنوز عملکرد مناسبی دارند. این آمار در بیمارانی که مراقبت منظم داشتهاند، به بیش از ۹۰٪ میرسد.
مراقبت از روکش دندان؛ نکات کلیدی برای افزایش عمر
یکی از مهمترین نکات، مراقبت از روکش دندان است. این روش تقریباً مشابه مراقبت از دندانهای طبیعی است، اما نکات خاصی وجود دارد که باید رعایت شوند. مراقبت بعد روکش دندان میتواند تفاوت بزرگی در دوام و ظاهر روکش ایجاد کند.
دستورالعملهای مراقبت:
۱- مسواک زدن دو بار در روز: از خمیردندان فلوراید استفاده کنید. مسواک را با زاویه ۴۵ درجه نسبت به لثه قرار دهید و به آرامی حرکت دهید.
۲- استفاده روزانه از نخ دندان: نخ دندان به حذف باکتریها و پلاک از نواحی بین دندانی و زیر خط لثه کمک میکند. این کار از پوسیدگی دندان زیرین جلوگیری میکند.
۳- مراجعه منظم به دندانپزشک: هر شش ماه یکبار برای معاینه و جرمگیری مراجعه کنید. دندانپزشک میتواند مشکلات احتمالی را زودتر تشخیص دهد.
۴- پرهیز از غذاهای بسیار سخت: جویدن یخ، آجیل سخت یا شکستن استخوان با دندان میتواند پرسلن را بشکند.
۵- استفاده از محافظ دهان: اگر دندان قروچه دارید، شبها از نایت گارد استفاده کنید تا از فشار غیرعادی روی روکش جلوگیری شود.
۶- کاهش مصرف مواد رنگی: چای، قهوه، سیگار و برخی خوراکیها میتوانند پرسلن را تیره کنند.
۷- توجه به علائم هشدار: اگر لثه اطراف روکش قرمز، متورم یا دردناک شد، یا اگر روکش شل شد، فوراً به دندانپزشک مراجعه کنید.
۸- پرهیز از ضربه: ورزشهای تماسی میتوانند به روکش آسیب برسانند. در صورت نیاز از محافظ ورزشی استفاده کنید.
| برای مطالعه بیشتر درباره مراقبت بعد از روکش دندان:مراقبت بعد روکش دندان | راهنمای کامل نگهداری از روکش دندان تا ۱۵-۲۰ سال |
✅ تجربه واقعی از کلینیک آرنیک:آقای امیر، ۵۰ ساله، به دلیل عدم مراقبت کافی، روکش پی اف ام خود را پس از ۷ سال از دست داد. او میگوید: “من فکر میکردم چون روکش دندان مصنوعی است، نیازی به مراقبت ندارد. اشتباه بزرگی بود! دندان زیرین پوسید و مجبور شدم روکش را عوض کنم. الان با روکش جدیدم، هر روز نخ دندان میکشم و هر شش ماه برای کنترل میروم. این بار میخواهم ۲۰ سال دوام بیاورد!” |
روکش دندان فوری چیست و چه تفاوتی با روکشهای معمولی دارد؟
روکش دندان فوری (یا روکشهای CEREC یا CAD/CAM) روشی نوین است که در آن روکش در همان روز و طی یک جلسه ساخته و نصب میشود. این تکنولوژی از اسکن دیجیتال دندان و دستگاههای فرزکاری کامپیوتری برای تولید روکش استفاده میکند.
ویژگیهای روکش دندان فوری:
– صرفهجویی در زمان: تمام فرآیند در یک جلسه ۲ تا ۳ ساعته انجام میشود.
– بدون نیاز به روکش موقت: چون روکش دائمی همان روز نصب میشود، نیازی به روکش موقت نیست.
– دقت بالا: اسکن دیجیتال دقت بسیار بیشتری نسبت به قالبگیری سنتی دارد.
– مواد: معمولاً از سرامیکهای تمام دندانی (مانند سرامیک فلدسپاتیک) ساخته میشود، نه پی اف ام.
روکش دندان متصل به هم (پل دندانی):
این نوع روکش، یعنی روکش دندان متصل به هم یا پل دندانی، زمانی استفاده میشود که یک یا چند دندان از بین رفته و نیاز است دندانهای مجاور به عنوان پایه استفاده شوند. این روکش پی اف ام برای پلهای دندانی بسیار مناسب است، زیرا استحکام لازم برای تحمل فشار روی چندین واحد را دارد.
✅ تجربه واقعی از کلینیک آرنیک:خانم نگار، ۴۵ ساله، برای پل سه واحدی (روکش دندان متصل به هم) به کلینیک آرنیک مراجعه کرد. او یک دندان از دست داده بود و دو دندان کناری نیاز به تراش و روکش داشتند. “دکتر گفتند روکش پی اف ام برای پل من ایدهآل است چون استحکام بالایی دارد. بعد از نصب، انگار هیچوقت دندانم را از دست نداده بودم. میتوانم راحت غذا بخورم و لبخند بزنم. سه سال گذشته و هیچ مشکلی نداشتم.” |
جدول مقایسه جامع انواع روکش دندان
برای کمک به شما در انتخاب بهترین نوع روکش، جدول زیر تمام جنبههای مهم را مقایسه میکند:
| معیار مقایسه | روکش پی اف ام (PFM) | روکش طلا | زیرکونیا | E-max | فلزی کامل |
|---|---|---|---|---|---|
| استحکام کلی | ۹/۱۰ | ۱۰/۱۰ | ۱۰/۱۰ | ۷/۱۰ | ۱۰/۱۰ |
| زیبایی و طبیعی بودن | ۷/۱۰ | ۳/۱۰ | ۱۰/۱۰ | ۱۰/۱۰ | ۲/۱۰ |
| طول عمر متوسط | ۱۰-۱۵ سال | ۱۵-۲۰+ سال | ۱۰-۱۵ سال | ۸-۱۲ سال | ۱۵-۲۵ سال |
| سازگاری زیستی | خوب | عالی | عالی | عالی | متوسط |
| مناسب برای دندانهای جلو | متوسط | خیر | بله | بله | خیر |
| مناسب برای دندانهای عقب | بله | بله | بله | متوسط | بله |
| احتمال شکستگی پرسلن | کم تا متوسط | ندارد (بدون پرسلن) | بسیار کم | متوسط | ندارد |
| نیاز به تراش دندان | ۱.۵-۲ میلیمتر | ۱-۱.۵ میلیمتر | ۱.۵-۲ میلیمتر | ۱-۱.۵ میلیمتر | ۱-۱.۵ میلیمتر |
| مناسب برای پل دندانی | بله | بله | بله | خیر (فقط تک واحد) | بله |
| شفافیت و انتقال نور | کم | صفر | متوسط تا خوب | عالی | صفر |
| همچنین شما میتوانید درباره روکش دندان ایمکس(emax) در این صفحه بخوانید:لمینت ایمکس(emax) چیست؟ مزایا، ماندگاری و نمونه کار ۱۴۰۴ |
نتیجهگیری: انتخاب هوشمندانه روکش دندان
روکش پی اف ام یکی از گزینههای عالی برای ترمیم دندانهای آسیبدیده یا عصب کشی شده است که ترکیبی متعادل از استحکام، دوام و زیبایی را ارائه میدهد. همانطور که در این مقاله بررسی کردیم، عمر روکش دندان عصب کشی شده میتواند با مراقبت صحیح به بیش از ۱۵ سال برسد.
در مقایسه با روکش دندان طلا یا روکش طلا دندون، روکش پی اف ام ظاهر طبیعیتری دارد، اگرچه روکش طلا دوام بیشتری دارد. انتخاب بین این دو به موقعیت دندان و اولویتهای شما بستگی دارد.
مراقبت از روکش دندان و رعایت مراقبت بعد روکش دندان، کلید موفقیت درمان است. با رعایت نکات بهداشتی و مراجعات منظم، میتوانید از سرمایهگذاری خود در سلامت دهان نهایت استفاده را ببرید.
برای مواردی که زمان محدود است، روکش دندان فوری گزینه مناسبی است، اما برای پلهای دندانی یا روکش دندان متصل به هم، روکش پی اف ام همچنان استاندارد طلایی محسوب میشود.
| در کلینیک دندانپزشکی آرنیک، ما با بررسی دقیق وضعیت دندانی شما، بهترین گزینه را توصیه میکنیم. تجربه بیماران ما نشان داده که با انتخاب صحیح نوع روکش و مراقبت مناسب، میتوان هم لبخند زیبایی داشت و هم از دوام طولانیمدت بهرهمند شد. با برقراری ارتباط با واتساپ ما میتوانید مشاوره های لازم را دریافت کرده و برای شروع درمان وقت رزرو کنید. |
سوالات متداول (FAQ) درباره روکش پی اف ام
❓ آیا روکش پی اف ام طبیعی به نظر میرسد؟پاسخ: بله، روکش پی اف ام میتواند ظاهری نسبتاً طبیعی داشته باشد، به خصوص اگر رنگ آن با دندانهای مجاور هماهنگ شود. با این حال، ممکن است خط تیره فلزی نزدیک لثه دیده شود. برای دندانهای جلویی، روکشهای تمام سرامیکی (زیرکونیا یا E-max) زیبایی بیشتری دارند. |
❓ تفاوت روکش پی اف ام با روکش طلا دندون چیست؟پاسخ: روکش طلا از آلیاژ طلا ساخته شده و رنگ طلایی دارد، در حالی که روکش پی اف ام ترکیبی از فلز و پرسلن سفید است. روکش طلا دوام بیشتری دارد و کمتر باعث فرسایش دندان مقابل میشود، اما پی اف ام ظاهر طبیعیتری دارد. هر دو برای دندانهای خلفی مناسب هستند. |
❓ روکش پی اف ام چقدر عمر میکند؟پاسخ: با مراقبت صحیح، روکش پی اف ام معمولاً ۱۰ تا ۱۵ سال دوام دارد و در برخی موارد تا ۲۰ سال یا بیشتر. عمر آن به کیفیت اجرا، بهداشت دهان، عادات جویدن و مراجعات منظم دندانپزشکی بستگی دارد. |
❓ آیا روکش پی اف ام میتواند بشکند؟پاسخ: بله، پرسلن رویی میتواند در اثر فشار شدید یا دندانقروچه ترک بخورد یا بشکند. زیرساخت فلزی معمولاً سالم میماند و پرسلن در بیشتر موارد قابل تعمیر است. استفاده از محافظ دهان در شب توصیه میشود. |
❓ چگونه از روکش پی اف ام مراقبت کنم؟پاسخ: مسواک زدن دو بار در روز، استفاده روزانه از نخ دندان، مراجعه منظم به دندانپزشک، پرهیز از جویدن مواد سخت، استفاده از محافظ دهان در صورت دندانقروچه، و کاهش مصرف مواد رنگی مانند قهوه و سیگار. این اقدامات عمر روکش را افزایش میدهند. |
❓ آیا روکش پی اف ام برای دندانهای جلویی مناسب است؟پاسخ: میتواند استفاده شود، اما نتیجه زیبایی ممکن است به اندازه روکشهای تمام سرامیکی نباشد. خط تیره فلزی نزدیک لثه ممکن است دیده شود. برای بهترین زیبایی در دندانهای جلو، روکش زیرکونیا یا E-max توصیه میشود. |
❓ روکش دندان فوری بهتر است یا روکش سنتی؟پاسخ: هر دو مزایا و معایب خود را دارند. روکش فوری همان روز آماده میشود و برای آن از اسکن دیجیتال استفاده میشپذ، در حالی که روکش سنتی مثل پی اف ام در آزمایشگاه ساخته میشود و دو جلسه نیاز دارد. انتخاب بستگی به نیاز بیمار و نظر دندانپزشک دارد. |
❓ آیا میتوان روکش پی اف ام را سفید کرد؟پاسخ: خیر، روکش پی اف ام را نمیتوان با بلیچینگ سفید کرد. رنگ پرسلن هنگام ساخت انتخاب میشود. توصیه میشود قبل از نصب، دندانهای طبیعی را سفید کنید تا رنگ روکش با آنها هماهنگ باشد. |





